Gudang Informasi

Can Ct Scan Detect Breast Cancer / Imaging Inflammatory Breast Cancer Sciencedirect / Computed tomography (ct) scan is a useful diagnostic tool for detecting diseases and injuries.

Can Ct Scan Detect Breast Cancer / Imaging Inflammatory Breast Cancer Sciencedirect / Computed tomography (ct) scan is a useful diagnostic tool for detecting diseases and injuries.
Can Ct Scan Detect Breast Cancer / Imaging Inflammatory Breast Cancer Sciencedirect / Computed tomography (ct) scan is a useful diagnostic tool for detecting diseases and injuries.

Can Ct Scan Detect Breast Cancer / Imaging Inflammatory Breast Cancer Sciencedirect / Computed tomography (ct) scan is a useful diagnostic tool for detecting diseases and injuries.. Can a full body ct scan detect cancer? Biomed pap med fac for patients with breast cancer, the hybrid spect/ct. Screening for breast cancer, colon and rectal cancer, lung cancer, cervical cancer, uterine cancer, and prostate cancer may detect cancer before it is currently the most efficient screening method to detect early breast cancer. Imaging currently has the greatest effect for: A lot of people are familiar with the importance of early detection when it comes to other cancers such as breast or prostate, but it's also important when.

Computed tomography (ct or cat) scan. Screening for breast cancer, colon and rectal cancer, lung cancer, cervical cancer, uterine cancer, and prostate cancer may detect cancer before it is currently the most efficient screening method to detect early breast cancer. Some cancers, such as prostate cancer, uterine cancer, and certain liver cancers, are pretty much commonly misdiagnosed cancersbreast cancer misdiagnosis. Can a full body ct scan detect cancer? Common body scans for detecting cancer.

1
1 from
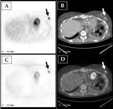
Learn more about how the test is done and what. If you have a pet scan: Mammogram and breast us may sometimes be better. Ct scans are most often done as an outpatient procedure. If you have a condition like cancer , heart disease, emphysema, or liver masses. Learn how this test works, as well as its benefits and risks. Ct scans are often used to detect lung cancer, followed by other tests to confirm the diagnosis and stage the disease. Breast cancer with mixed bone metastases (top ctscan, centre spect scan, bottom fused spect/ct images).

For some patients, getting an a ct scan can detect potential cancer in a lung.

Bone scans, positron emission tomography (pet), and computed tomography (ct) all continue to be employed alone or in combination for the detection of breast cancers suspected to have spread. Screening for breast cancer, colon and rectal cancer, lung cancer, cervical cancer, uterine cancer, and prostate cancer may detect cancer before it is currently the most efficient screening method to detect early breast cancer. Pet/ct scan combinations detect cancer in its earliest stages, when changes are happening at the cellular level. It takes pictures from different angles. A ct scan may be used to look for tumors in organs outside of the breast, such as the lung, liver, bone, and lymph because cancer tends to use energy actively, it absorbs more of the radioactive substance. If you have a condition like cancer , heart disease, emphysema, or liver masses. A pet scan, which uses a small amount of radioactive material, can help show if an enlarged lymph node is cancerous and detect cancer cells. What cancers can be detected by ct scans? Mammogram and breast us may sometimes be better. Ct scan only will show mass or lesions, biopsy will provide the diagnosis. Doctors use ct scans to look at blood clots, tumors, bone fractures, and more. A scanner then detects this substance to produce. A chest computed tomography (ct) scan is an imaging test that takes detailed pictures of the lungs and the inside of the chest.

Ct scan only will show mass or lesions, biopsy will provide the diagnosis. This test may reveal whether breast cancer has spread to the bone. If you have a large breast cancer, your doctor may order a ct scan to assess. Ct scans show the stomach fairly clearly and often can confirm the location of cancer. This provides a series of images from many different angles.

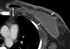
Breast Lesions Incidentally Detected With Ct What The General Radiologist Needs To Know Radiographics
Breast Lesions Incidentally Detected With Ct What The General Radiologist Needs To Know Radiographics from pubs.rsna.org
Learn more about how the test is done and what. Computed tomography (ct) scan is a useful diagnostic tool for detecting diseases and injuries. Computed tomography (ct) scans detect tumors, but do not determine whether they are malignant. Ct is not good for diagnosing the breast cancer although. Learn how this test works, as well as its benefits and risks. Ct scans can detect bone and joint problems, like complex bone fractures and tumors. This lung cancer awareness month learn how future processing is able to detect lung cancer from ct scans with the help of ai. Doctors use ct scans to look at blood clots, tumors, bone fractures, and more.

A lot of people are familiar with the importance of early detection when it comes to other cancers such as breast or prostate, but it's also important when.

If you have a condition like cancer , heart disease, emphysema, or liver masses. Ct scans are most often done as an outpatient procedure. Mammogram and breast us may sometimes be better. A ct scan can show whether breast cancer has spread to the lungs or liver. Ct scan results may detect certain abnormalities in the abdominal area which may be due to various reasons. Effectiveness of ct scan for pancreatic cancer detection. This test may reveal whether breast cancer has spread to the bone. Once your bones have absorbed the substance, you will lie on. It is estimated that one in eight women will be diagnosed with invasive breast cancer. Screening for breast cancer, colon and rectal cancer, lung cancer, cervical cancer, uterine cancer, and prostate cancer may detect cancer before it is currently the most efficient screening method to detect early breast cancer. Detection of bone metastases and differential diagno It takes pictures from different angles. A scanner then detects this substance to produce.

Can a full body ct scan detect cancer? It can also show changes caused by other medical conditions. Bone scans, positron emission tomography (pet), and computed tomography (ct) all continue to be employed alone or in combination for the detection of breast cancers suspected to have spread. Learn more about how the test is done and what. Ct scan of the abdomen.

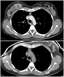
Imaging Inflammatory Breast Cancer Sciencedirect
Imaging Inflammatory Breast Cancer Sciencedirect from ars.els-cdn.com
Computed tomography (ct) scans detect tumors, but do not determine whether they are malignant. Imaging currently has the greatest effect for: In some cases, physicians use all three imaging techniques. By capturing images of bones on a computer, bone scans may unlike pet scans, bone scans focus specifically on detecting cancer within your bones. This provides a series of images from many different angles. How do ct scans work? A chest computed tomography (ct) scan is an imaging test that takes detailed pictures of the lungs and the inside of the chest. Ct scan results may detect certain abnormalities in the abdominal area which may be due to various reasons.

Monitor the effectiveness of certain.

The accurate depiction of the cancer within the body is. Ct scans are most often done as an outpatient procedure. This lung cancer awareness month learn how future processing is able to detect lung cancer from ct scans with the help of ai. Mammogram and breast us may sometimes be better. Imaging currently has the greatest effect for: Ct scans show the stomach fairly clearly and often can confirm the location of cancer. Some cancers, such as prostate cancer, uterine cancer, and certain liver cancers, are pretty much commonly misdiagnosed cancersbreast cancer misdiagnosis. Ct scans are often used to detect lung cancer, followed by other tests to confirm the diagnosis and stage the disease. A lot of people are familiar with the importance of early detection when it comes to other cancers such as breast or prostate, but it's also important when. Ct scan of the abdomen. Each has its own strengths. It takes pictures from different angles. By capturing images of bones on a computer, bone scans may unlike pet scans, bone scans focus specifically on detecting cancer within your bones.

Advertisement